Powered by


Now Loading...
2025 Volume 10 Pages e2025-0054
Takeshi Suzuki, Kenkichi Michimoto, Todd Graham, Maofeng Gong, Prem Singh, Oleh Taratula, Khashayar Farsad, Kentaro Yamada
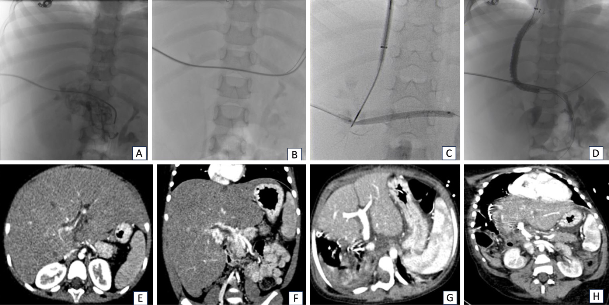
2025 Volume 10 Pages e2025-0063
Akira Morimoto, Midori Yamamura, Yuko Miki, Ichiro Fujiwara, Akira Yamamoto, Yoshihiro Tsujimoto
- 1Guidelines for Central Venous Port Placement and Management (Abridged Translation of the Japanese Version)Shunsuke Sugawara, Miyuki Sone, Noriaki Sakamoto, Keitaro Sofue, Kazuki Hashimoto, Yasuaki Arai, Hiroyuki Tokue, Masakazu Takigawa, Hidefumi Mimura, Tomoaki Yamanishi, Takuji Yamagami
- 2Uterine Artery Embolization for Symptomatic Uterine Myomas: Japanese Society of Interventional Radiology Procedural Guidelines 2021: English VersionShinsaku Yata, Miyuki Sone, Kazumasa Seiji, Yuichiro Izumi, Yu Murakami, Hiroki Higashihara, Eisuke Ueshima, Munehiro Sugiyama, Tomohiro Komada, Satoru Morita, Hitomi Kato, Ryohei Kuwatsuru, Akira Adachi, Tomohiro Matsumoto, Takuji Yamagami
- 3A Review of Treatment for Type II Endoleak after Endovascular Abdominal Aortic Aneurysm RepairHiroki Horinouchi
- 4The Guidelines for Percutaneous Transhepatic Portal Vein Embolization: English VersionMasayuki Hashimoto, Yasufumi Ouchi, Shinsaku Yata, Akira Yamamoto, Kojiro Suzuki, Asuka Kobayashi, Guideline Committee, Japanese Society of Interventional Radiology
- 5Nonocclusive Mesenteric Ischemia: A Review for Interventional RadiologistsHiroshi Kawada, Shoma Nagata, Yoshifumi Noda, Nobuyuki Kawai, Tomohiro Ando, Tetsuro Kaga, Taketo Suto, Hiroshi Kondo, Masayuki Matsuo
Data from October 2025 to February 2026